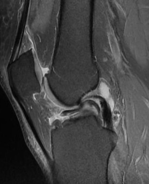
What is the difference between degenerative and acute meniscus tears?
- sportsuct

- Jun 24, 2023
- 2 min read
The main difference between a degenerative and acute meniscus tear lies in their underlying causes, timing of onset, and associated symptoms. Here's a breakdown of the key distinctions:
Degenerative Meniscus Tear:
Degenerative meniscus tears typically result from the natural aging process and wear and tear on the knee joint over time. They are often associated with gradual degeneration and weakening of the meniscus. These tears tend to occur in older individuals, typically over the age of 40, and are more commonly seen in the absence of a specific injury or trauma. They develop gradually over time due to the repetitive stress placed on the knee joint. Degenerative meniscus tears may not cause immediate severe pain or functional limitations. But they can result in chronic knee pain, swelling, stiffness, and occasional mechanical symptoms such as locking or catching sensations in the knee joint.
Acute Meniscus Tear:
Acute meniscus tears are typically caused by a sudden, forceful twisting or rotation of the knee joint, often associated with a specific injury or trauma. They can occur during activities such as sports or accidents that place sudden, excessive stress on the knee.
They are characterized by an immediate onset of symptoms following the traumatic event. They often cause severe pain, swelling, and functional limitations. Patients may experience a "pop" sensation at the time of injury and have difficulty bearing weight on the affected leg. Mechanical symptoms such as catching or locking of the knee may also be present.

Management
We base our decision for surgery on careful patient selection, taking into account the individual's age, symptoms, clinical findings, and imaging results.
Arthroscopic meniscal repair is recommended for appropriate tears, especially in younger patients with a good healing potential, stable knee joint, and specific tear characteristics.
Arthroscopic partial meniscectomy is done for symptomatic meniscus tears that are not amenable to repair, particularly in the presence of mechanical symptoms or significant functional limitations.
For degenerative meniscus tears in the absence of mechanical symptoms or acute exacerbation of pain, most professional associations do not recommend arthroscopic surgery as the initial treatment.





Comments